
Home > Product > 代理廠商一覽表 > Riverain
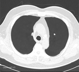
| Clearread CT 人工智慧電腦斷層肺結節分析判讀系統 | | ClearRead CT是一種電腦輔助檢測系統,用於識別和標記注意區域(Regions of Interest,ROI)。ClearRead CT系統適用於所有結節類型,包括實質(solid)、非實質(sub-solid)和毛玻璃樣(ground glass)結節,其尺寸介於5mm到30 mm之間。本系統僅限於每個CT系列(CT series)標記被視為值得檢查的5個 ROI。ClearRead CT的使用可以減少疏漏錯誤。系統的比較元件允許ROI與先前掃描的時間先後比較,並提供隨時間的體積變化。 |  |
|
|
|